
コラムCOLUMN
変色した失活歯に対してインターナルブリーチを行い審美的改善を図った症例
術前
術

治療中
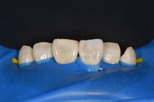
術前
術後
詳細
40代女性
主訴:神経を取った歯の色が気になる
所見:失活した右上中切歯に帯状の変色があり。既根管治療歯であり、根尖病変も存在する。歯根長は短く、残存歯質もかなり菲薄化している。
根管治療が必要であり、根管治療後はクラウンにより審美的改善を図ることもできるが、今回は歯質の温存を希望したためインターナルブリーチにより審美的改善を図ることにした。
マイクロスープ下にて古い充填物を除去すると根管内は汚染物質が多量存在したため、汚染物質の除去を徹底的に行い次亜塩素酸ナトリウムで殺菌を行った。
根管内の清掃を終えた後根管充填を行った。
根管治療後ラバーダム防湿下にて過酸化水素水35%配合ホワイトニング剤オパールエッセンスBOOST(ウルトラデント)を使用してインターナルブリーチを行った。
https://www.ultradent.jp/products/categories/whitening/in-office/opalescence-boost?sku=4488-JP
変色部分の改善を確認した後、充填処置を行った。
今回は変色部分の改善と歯質をできるだけ温存する方法を取り、審美的改善ができました。
永久歯の打撲や過去の虫歯の治療で神経を取った歯では、その後変色が生じる可能性がありますが、変色の改善ができることもあります。
歯質を削りクラウンを入れることで改善できることもありますが、残っている歯の量や状態によってはこのような改善方法もあるので、気になることがあればご相談いただけたらと思います。

治療回数:4回(経過観察含む)
費用:インターナルブリーチ33,000円 ダイレクトボンディング55,000円
デメリット・リスク
変色部分が再度変色することがあります。
根管治療が壮行しない場合は外科的根管治療が必要になることがあります。
薄くなった歯に経年的に破折が生じることがあります。
根管治療中に痛みや腫れが生じることがあります。
