
コラムCOLUMN
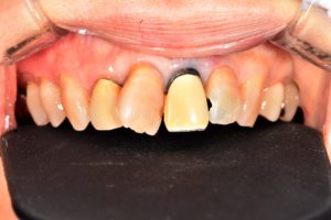
ジルコニアクラウンを用いて前歯部の審美障害を改善した症例
術前→
仮歯→
最終補綴物
50代女性
前歯部の不良補綴物と審美不良
補綴前処置として根管治療を行いジルコニアセラミッククラウンにて審美障害の改善を行った。
費用:ジルコニアセラミッククラウン137,500円(支台築造・プロビジョナル代含む)
デメリット・リスク
保険適用外治療である
失活歯の破折が生じることがある
治療中痛みや腫れを感じることがある
| 診療時間 | 月 | 火 | 水 | 木 | 金 | 土 | 日 | 祝 |
|---|---|---|---|---|---|---|---|---|
| 9:00 ~ 13:00 | 〇 | 〇 | 〇 | / | 〇 | 〇 | / | / |
| 14:30 ~ 18:00 | 〇 | 〇 | 〇 | / | 〇 | ★ | / | / |

コラムCOLUMN
術前→
仮歯→
最終補綴物
50代女性
前歯部の不良補綴物と審美不良
補綴前処置として根管治療を行いジルコニアセラミッククラウンにて審美障害の改善を行った。
費用:ジルコニアセラミッククラウン137,500円(支台築造・プロビジョナル代含む)
デメリット・リスク
保険適用外治療である
失活歯の破折が生じることがある
治療中痛みや腫れを感じることがある