コラム
根管内に破折器具が存在する歯に対する再根管治療
治療前
治療後
治療前
治療後
詳細
40代男性
虫歯の治療をしてほしい
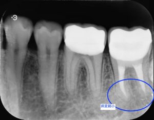
左下第二大臼歯部に不良補綴物をみとめたため、レントゲン検査を行うと根尖部透過像がみられた。根管内に破折器具がみられたため、破折器具の除去および根管内の感染除去を行った。経過観察後、根尖部透過像の縮小をみとめたため、歯冠修復を行った。

治療前
根管治療終了直後
根管治療終了後3ヶ月
根管治療終了後1年
歯冠修復後
治療期間1年半(経過観察および他の部位の治療を含む)
費用
ジルコニアセラミッククラウン 132,000円(支台築造、仮歯代含む)
デメリット・リスク
複雑な根管治療形態や歯根破折の際は治癒しない場合があります。
根管治療中に痛みや腫れが生じる場合があります。
通常の根管治療で治癒しない場合は外科的治療や抜歯となる場合があります。
解説
根管治療の偶発症として、使用する器具の破折があります。破折器具は根管治療の妨げになる場合があり、治療中に除去を試みることがあります。根管治療の目的は感染源を取り除くことであり、破折器具そのものが感染源になるわけではありません。そのため破折器具を取り除かなければ病変が治癒しないわけではありません。重要なのは感染源を取り除くことにあります。また、破折器具を取り除くために健康な歯を大きく削らなければいけない場合もあり、破折器具を取り除くことが歯の延命に必ずしも直結するわけではありません。
今回の症例では根管内の汚染が強く、破折器具もはじめからしっかり見えたことから超音波切削器具と次亜塩素酸ナトリウム等を用いて除去しました。再度根管充填を行ったあと、病変の縮小をみとめた後に歯冠修復を行いました。
また根管治療後に適合の良い、再感染の起こりにくいジルコニアセラミッククラウンでしっかり再感染を防ぐことが根管治療の予後を左右します。

そのため一度根尖病変が治癒したとしても、その後の修復物の適合が悪いと再感染してしまいます。
根管治療とともに歯冠修復物の精度がその歯の予後にとって極めて重要であると言えます。

根管治療と歯冠修復物の精度を高めるために当院ではマイクロスコープや高倍率ルーペを使用しています。
大きな根尖病変の存在する歯であっても保存可能な場合もありますので、お悩みの方はぜひご相談ください。
監修医
〒738-0001
広島県廿日市市佐方4丁目7−14
アーネストマンション101
かわの歯科・こども矯正歯科クリニック
院長 河野 聖
