コラム
歯の打撲(外傷)が生じた乳歯の整復・固定後の経過について
こんにちは。廿日市市佐方のかわの歯科・こども矯正歯科クリニックです。
今回は歯の外傷について説明します。

クインテッセンス出版 「外傷歯の診断と治療」(増補新版) 月星光博 先生 著より抜粋
歯の打撲(外傷)といっても様々な種類があります。
歯を打ったものの亀裂も脱臼も生じていないケース、歯が欠けた・折れたケース、歯が移動したり抜けてしまうケースなどその都度状況により対応は異なります。
今回のケースは上の乳歯の前歯を打ってしまい、歯の移動(脱臼)が生じてしまったケースについてです。


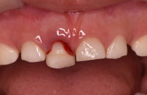
受傷直後
年齢:3歳女の子
30分前にこけて上の前歯を強打し、この写真からはわかりませんが、上の前歯の位置異常(脱臼)が生じています。

参考症例 外傷により右上前歯の脱臼が生じています
乳歯の形態には異常はなく、打った歯の位置が変わっているため元の位置に整復し、ワイヤーで固定を行います。

脱臼した左上乳中切歯を整復し、両隣の歯とワイヤーで固定します。
脱臼した歯は一度骨から剥がれているため、周囲の骨とくっつくまでこの状態で経過観察をしていきます。


受傷から2週間
脱臼した際に歯の内部の神経・血管に障害が生じるため、内部で充血に伴う歯の変色が生じています。
レントゲン診査でも異常所見はないため、このまま何もせず経過観察を行います。


受傷から1ヶ月半
少し歯の変色は残っていますが、元の色に戻ってきました。
痛みもなく、レントゲン所見も異常がないため、固定していたワイヤーを除去し更に経過観察を行います。


受傷から8ヶ月後
脱臼した歯の色は周囲と殆ど同じくらいに戻りました。
レントゲン所見も異常はないため、追加の処置等は行わず治療終了としました。
小さなお子さんはこけたりして歯を打つことが多いです。
重篤な場合は今回のように固定をしたり、場合によっては傷んだ歯の神経を取る処置を行うこともあります。
初期対応をなるべく早く行うことでその後歯を失うリスクなどを最小限にすることができると考えています。
今回のケースは乳歯の外傷に対する処置となるため、今後交換して生えてくる永久歯に悪影響が出ないようにすることが一番の目的になります。
永久歯の場合の外傷では処置内容が多岐にわたり、歯の神経を取る必要が出てくることもあるため上記の場合とは異なることが多いです。
乳歯、永久歯ともに外傷が生じてしまった際はなるべく早くかかりつけの歯科医院にご相談いただけたらと思います。
