コラム
深在性のう蝕に対して歯髄温存を行った症例

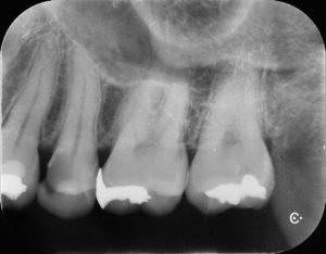
術前 術後

術前 術後
詳細
30代女性
神経を残して治療してほしい
左上小臼歯部に歯髄に近接した深在性のう蝕をみとめる。痛み等の症状はないため歯髄の保存を試みることとした。

ラバーダム防湿を行い、唾液からの保護を行った後、う蝕を除去していくと容易に歯髄が露出した。炎症性の冠部歯髄を除去し、マイクロスコープ強拡大下で断髄面の状態を確認したところ正常な血管の走行を認めたため、MTAセメントを用いて歯髄保護を行った。

仮封の状態で数日間経過観察を行い、異常はみられなかったためダイレクトボンディングにて歯冠修復を行った。

治療回数 2回
費用
歯髄温存療法 33,000円
ダイレクトボンディング 1歯55,000円
この症例は患者さんの希望により自費治療を行いました。
当院では各種保険適用の治療も行っております。
解説
歯はゆで卵のような構造をしています。

歯の神経は虫歯ができ大きくなったときに痛みを感じたり、虫歯菌の体内への感染を防御する役割があります。また、歯の神経を抜く際に歯の内部は複雑に傷つき歯の寿命としては短くなっていきます。神経を保存できるということは歯の寿命を伸ばすことと直結します。
唾液に含まれる細菌が処置中に歯髄に感染してしまうことを防止するためにラバーダムで隔離し、マイクロスコープで歯髄の状態を細かく確認することなどやや手技が煩雑になり、その分処置時間も長くなることもあります。

別症例 歯髄の状態の確認
歯髄の保護を行った後は経過観察を行い、臨床症状がないことを確認し詰め物や被せ物にて修復治療を行います。
今回の症例では歯質も十分に残っていたり、咬合も強くは当たらなかったことからダイレクトボンディングという詰め物を行っています。http://www.kawano-dental-clinic.jp/column/21/
歯髄が露出してしまった際は抜髄という神経を抜く処置を行うことが一般的ですが、歯髄を保存することが可能な場合もあります。また、歯髄の保存を行っても一部の人には痛みが出ることで神経を取らなけてはいけないこともありますが、神経を残すことにはメリットが多くあります。
ご興味のある方はぜひご相談ください。
デメリット・リスク
術後に痛みが出た際は神経を取り除くことがある。
詰め物がかけることがある。
処置時間が長時間になることがある。
監修医
〒738-0001
広島県廿日市市佐方4丁目7−14
アーネストマンション101
かわの歯科・こども矯正歯科クリニック
院長 河野 聖
