コラム
根管治療症例虫歯治療
二次う蝕を有する歯に対して再根管治療・再修復治療を行った症例


詳細
63歳 女性
主訴:虫歯の治療をしてほしい
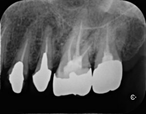
左上奥歯に不適合のクラウンとそれに伴う二次う蝕を認めた。レントゲン診査より根管治療の必要性も認めたため、再根管治療および再修復治療を行うこととした。その他全顎的に歯周炎を発症し、深いポケットを有する部分が多数存在した。
診断:全顎的な慢性歯周炎慢性根尖性歯周炎と二次う蝕
治療期間:およそ8ヶ月
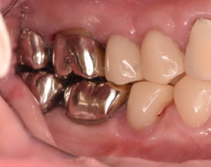
治療方法:不良補綴物を除去し再根管治療を行った後、深い歯周ポケットに対して歯周外科治療を行った。歯肉の安定の後歯冠修復治療を行った。
不良補綴物の除去
治療後
費用:すべて保険治療
デメリット・リスク
複雑な根管治療形態や歯根破折の際は治癒しない場合があります。
根管治療中に痛みや腫れが生じる場合があります。
通常の根管治療で治癒しない場合は外科的治療や抜歯となる場合があります。
