コラム
正中離開と不適合冠による審美障害に対して、最小限の治療による改善を図った症例
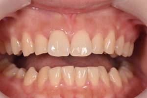
術前
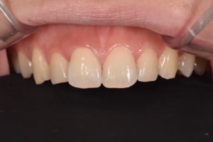
術後
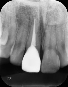
術中
術後 
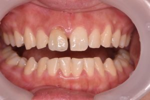
術前
術後 
年齢:19歳
主訴:前歯の見た目が気になる
詳細:前肢の審美障害を主訴に来院された患者さんです。上の前歯に過去に治療し不適合となったクラウンが入っており、その横の歯に欠けた跡がみられました。不適合のクラウンのみをやりかえると左右中切歯の幅がかなり差が生じてしまうことから、欠けている部分をダイレクトボンディングにて形態修正を行い、不適合クラウンはジルコニアセラミックで再治療することで審美障害を改善しました。

黄色:ダイレクトボンディング
オレンジ:ジルコニアセラミッククラウン
ダイレクトボンディングについて:http://www.kawano-dental-clinic.jp/column/21/
セラミッククラウンについて:http://www.kawano-dental-clinic.jp/column/172/
抜髄されてあった歯は打撲による外傷で歯が折れた過去があり、舌側に欠けて大きく歯が欠損していました。そこで、テンポラリークラウンにて歯肉のマネジメントを行い、シリコン印象材により丁寧に印象採得することで適合の良いクラウンを作ることができました。



また、模型上で事前にシミュレーションをすることで、ダイレクトボンディングにより欠けた部分の形態の再現が精度良くでき、審美的にも満足の行く治療となりました。
また、欠けた部分の治療としてはラミネートベニアやセラミッククラウンなどの治療法があります。しかし歯を削る事を考え、このケースではダイレクトボンディングにより修復したため無切削による治療ができたのではないかと考えられます。
費用:ダイレクトボンディング 55,000円
ジルコニアセラミッククラウン 110,000円
治療回数:8回(根管治療含む)
デメリット・リスク:
根管治療により、術中、術後に痛みや違和感が出現する場合がある。
通常の根管治療において奏功しない場合、外科的処置や抜歯が必要になる可能性がある。
経年的に歯根破折が起き、抜歯が必要となる可能性がある。
失活歯は歯根破折が起き抜歯が必要となる可能性がある。
修復物は経年的に劣化、磨耗または破損することがあり再製作が必要となる可能性がある。
今回のケースは患者の希望により自費診療をしていますが、各種保険診療も行っています。
歯やお口でお困りのことがあれば当院までご連絡ください。
