コラム
症例
MTAセメントを用いた歯髄温存療法とダイレクトボンディングを行った症例
治療前
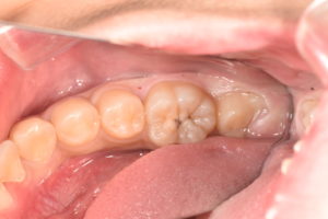
治療後
治療前
治療後
詳細
13歳男性
主訴:虫歯の治療をしてほしい
所見:左下第一大臼歯に歯髄に近接した大きなう蝕をみとめる。自発痛などの症状はない。う蝕を除去する際に歯髄が露出する可能性が高い。
通常の治療では根管治療により歯髄を除去することが考えられる状況であるが、臨床症状がなく、年齢も若い子とから歯髄温存療法を行うこととした。

感染防止のためラバーダムを装着し、う蝕を除去していくと大きく2箇所露髄した。周囲にう蝕は存在するものの歯髄自体に変性はなく保存可能と判断した。
一部貧血帯もあったため冠部歯髄を除去し、MTAセメントにて歯髄を保護をした後、仮封を行い1回目の処置は終了した。

一定期間の経過観察の後、臨床症状に変化はなかったため、ダイレクトボンディングにより歯冠部修復を行った。

若年性のう蝕は急性う蝕といい進行が早いため、処置が遅れると根管治療が必要となることがあります。なかなか自覚症状も出ないため本人には気づきにくいことがよくあります。
MTAセメントは高い抗菌性や封鎖性のある材料で今回のようにラバーダムと併用することで、従来であれば取り除かなければならない歯髄も保存することができます。また、ダイレクトボンディングやセラミックによりピッタリ隙間なく封鎖することでその後の再感染を予防することが可能となってきます。
治療期間:3回(充填後の研磨調整を含む)
金額:歯髄温存療法33,000円 ダイレクトボンディング55,000円
デメリット・リスク
痛みなどの症状が出た際は歯髄保存ができないことがある。
全ての歯で歯髄温存できるわけではない。
保険がきかないため高額となる。
