コラム
審美レジン治療「ダイレクトボンディング」とは【審美歯科】
こんにちは。
廿日市市の歯医者【かわの歯科・こども矯正歯科クリニック】です。
むし歯を治すことと歯を白くすることは、別の治療だと思っていませんか?
ですが、審美レジン治療の「ダイレクトボンディング」なら、どちらも同時に叶うかもしれません。
ここでは、「ダイレクトボンディング」とはどのような治療なのか、またそのメリットについて、お話しします。
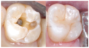
審美レジン治療の「ダイレクトボンディング」とは
「ダイレクトボンディング」は、レジンというプラスチック素材を使います。
形を自由に変えられるため、歯の表面を滑らかにしたり、削ったところを詰めたりと、細かな部分の治療にも対応することができます。
数種類の色を塗り重ねて、患者さまの歯の色に近づけることも可能ですから、自然な見た目に仕上がりやすくなります。
扱いやすい素材で、一般的な審美治療のような型取りなどもないため、お忙しい方にも気軽に受けていただけるでしょう。

「ダイレクトボンディング」はむし歯の治療にも効果的です
「ダイレクトボンディング」は、むし歯の治療にも適しています。
治療で歯を削ったあと、汚れがつかないうちにすぐに詰めることができますから、強い接着力を維持できます。
部分的に歯が欠けたり、新たにむし歯になったりしても、部分的な治療が可能になります。
また、詰め物や被せ物が銀歯だと、使っているあいだに金属が劣化し、金属アレルギーにならないかと心配になる方も、いらっしゃるでしょう。
「ダイレクトボンディング」は、金属を使わずに詰めることができるため、安心して使っていただけます。

歯の健康な部分を削らない治療で、歯の寿命を伸ばしましょう
「できることなら、いつまでも自分の歯で過ごしたい」そう思う方は多いのではないでしょうか。
ですが、治療などで歯を削れば削るほど、歯の寿命は短くなるといわれています。
一度削ってしまった部分は元に戻ることはありませんから、いかに健康な歯を残すかが大切です。
歯の健康な部分まで削らない「ダイレクトボンディング」で、歯の寿命を伸ばし、いつまでもご自身の歯で快適な毎日を送りましょう。
廿日市市の歯医者【かわの歯科・こども矯正歯科クリニック】では、むし歯治療に「ダイレクトボンディング」をおすすめしています。
気になることやわからないことがありましたら、どうぞお気軽にご相談ください。
