コラム
神経の保存治療





詳細
年齢:13歳
主訴:虫歯の治療をしてほしい。神経を残してほしい。
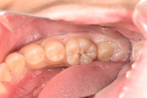
左下第一大臼歯にう窩がみられたため、レントゲン写真で虫歯の範囲を確認すると歯髄に近接した透過像をみとめた。症状はまったくなく、若年者でもあったため歯髄の保存を試みた。虫歯の除去中に容易に露髄し、歯冠部歯髄は一部壊死していたため歯頚部にて断髄を行い、MTAセメントにて歯髄保存を試みた。一定期間経過観察の後、症状の無いことを確認した後、ダイレクトボンディングにて歯冠修復を行った。
費用:MTAを用いた歯髄温存療法 33,000円 ダイレクトボンディング 55,000円
治療回数:3回(その他歯磨き指導や歯石除去を行っている)
デメリット・リスク
術後に症状が出てしまった場合は神経を取る可能性が生じる
説明
術前のレントゲン写真を見てもわかるように明らかにう蝕が歯の神経に到達している大きな虫歯なので、治療としては神経を取り除き、銀歯などの被せ物を作るのが一般的な治療となります。



ですが、若いうちに神経を取り除いてしまうと、その後歯の耐久性が弱くなってしまいます。すべての症例ではありませんが、このケースのように症状がないなどの条件を満たせば、MTAセメントにより保護することで神経の温存を行うこともできます。
さらにダイレクトボンディングという方法で虫歯でなくなった部位を修復することで、歯質を可能な限り温存することができ、見た目も自然なものとなります。

今回のケースは患者の希望により自費診療をしていますが、各種保険診療も行っています。
歯やお口でお困りのことがあれば当院までご連絡ください。
監修医
〒738-0001
広島県廿日市市佐方4丁目7−14
アーネストマンション101
かわの歯科・こども矯正歯科クリニック
院長 河野 聖
