コラム
根尖病変を有する上顎大臼歯に対して、根管治療後に歯冠修復を行った症例


詳細
年齢:61歳
主訴:虫歯の治療をしてほしい
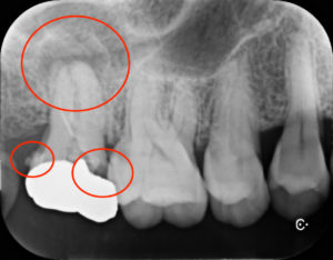
全顎的に診査したところ右上の一番奥の歯に虫歯と根尖病変をみとめました。たまに違和感を感じるとのことで治療を行っていきました。また不適合な補綴物の境目のところに歯石の付着もみとめます。虫歯でほとんど歯質が残っていない状態と考えられますが、再治療を行い歯の保存を行うこととしました。
診断名:上顎右側第二大臼歯 慢性根尖性歯周炎 既根管治療歯および二次う蝕
治療期間:約1年6ヶ月(治療中断期間含む)


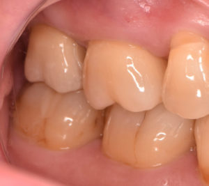
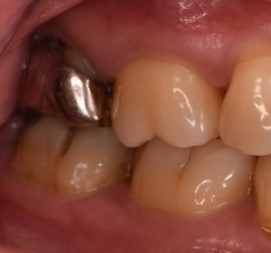
治療方法:不良補綴物を除去した後、う蝕を除去・隔壁形成した後ラバーダム防湿下にて根管治療を行った。根管内の感染物質を除去した後、通法に従い根管充填した。根尖病変の経過観察を行った後、ジルコニアセラミッククラウンにて歯冠修復を行った。その他全顎的な虫歯治療や歯周治療も行った。

費用:ジルコニアセラミッククラウン 170,500円(支台築造、プロビジョナルクラウン含む)
この症例は患者さんの希望により自費治療を行いました。
当院では各種保険適用の治療も行っております。
デメリット・リスク
複雑な根管治療形態や歯根破折の際は治癒しない場合があります。
根管治療中に痛みや腫れが生じる場合があります。
通常の根管治療で治癒しない場合は外科的治療や抜歯となる場合があります。
説明
すでに根管治療がされているの歯の再治療例になります。再根管治療の目的は、根管内の感染物質を取り除くことにあります。精度の良いジルコニアセラミッククラウンでの再修復により、根管内に再度感染源が侵入するのを防ぎ、根尖病変の再発を防ぐことで長く歯を使用することが可能となります。
一つの一つの手技を細かく行うことで大きな根尖病変の存在する歯でも治癒する場合もありますので、お悩みのある方はぜひご相談ください。
監修医
〒738-0001
広島県廿日市市佐方4丁目7−14
アーネストマンション101
かわの歯科・こども矯正歯科クリニック
院長 河野 聖
