コラム
当院のホワイトニングについて
こんにちは!廿日市市佐方のかわの歯科・こども矯正歯科クリニックです!
今回は当院で行っているホワイトニングについてご紹介します。
当院でのホワイトニングはアンジェラスホームという商品のホワイトニング剤を用いたホームホワイトニングを採用しています。
アンジェラス ホーム 10%
ホームホワイトニングとは、型取りを行いその人専用のホワイトニングトレーを作成し、家でホワイトニングを行う方法のことを言います。

トレーの内面にホワイトニングジェルを流し、トレーを歯に装着することで薬剤を歯に浸透させ白くしていきます。
使用はとても簡単に誰でも行うことができます。
また、一度トレーを作成すれば追加のジェルを購入してもらうと再度ホワイトニングをすることができ経済的です。
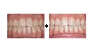
当院でホワイトニングを行った1症例をご紹介します。
上顎犬歯の色が気になりホワイトニングを行った方です。
専用のホワイトニングトレーを使用し、2週間ホワイトニングを行った後、術前後の写真を比較しました。

全体的にはそこまで暗い歯の色はしていませんが、上顎犬歯がC4でかなり暗い色でした。
ホワイトニング後は全体的に少し明るくなり、犬歯の色は馴染むようにかなり明るくなりました。
このように元々明るい色をしている場合は劇的に明るくなるわけではありませんが、暗い歯の色はかなり改善させることが可能です。

全体的にさらに明るくしたい場合はホワイトニングを続けより明るくすることも可能となります。
ホワイトニングについてご興味がある場合は是非ご連絡ください。
本症例の詳細主訴:歯の色を明るくしたい
診断名:前歯部 審美障害
年齢 :22歳
性別 :女性
治療期間・回数: 3回
治療方法:印象採得を行いホワイトニングトレーを作成し、ホームホワイトニングを行った。
費用: ホームホワイトニング 税込 22,000円 追加ジェル 3,300円
デメリット・リスク
ホワイトニング後一定期間歯がしみることがある。
ホワイトニング後、色の後戻りが生じることがある。
即効性は少なく、効果が出るまでに少なくとも2週間程度の日数が必要です。
毎日マウスピースを決まった時間つける必要があります。
この症例は患者様のご希望により自由診療とさせていただいております。
当院では各種保険診療も行っております。
監修医
〒738-0001
広島県廿日市市佐方4丁目7−14
アーネストマンション101
かわの歯科・こども矯正歯科クリニック
院長 河野 聖
